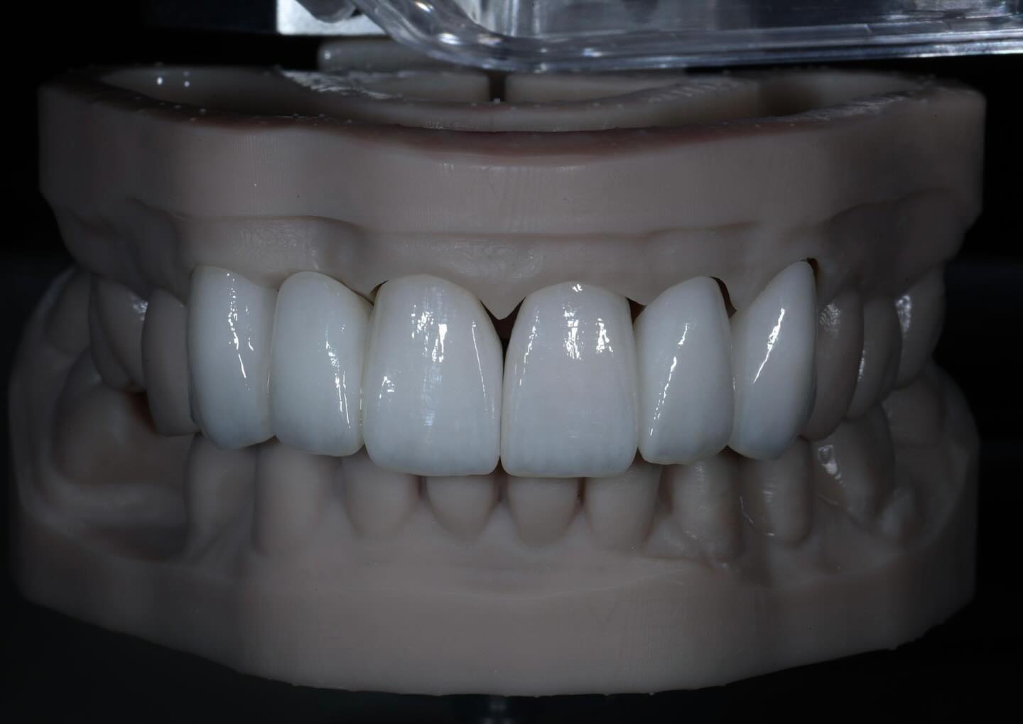
About Crownify
At Crownify, we are committed to supporting dental professionals with precision-
engineered restorations designed to meet the highest clinical standards.
We specialize in crafting high-quality crowns, bridges, veneers, dentures, and aligners using the
newest CAD/CAM workflows, premium materials, and state-of-the-art fabrication technology.
Our focus is on delivering consistent, reliable results that enhance patient outcomes and
streamline your practice.
As your local dedicated laboratory partner, Crownify is here to ensure every restoration fits
seamlessly both functionally and esthetically. With a commitment to innovation and artistry, we
strive to exceed expectations and provide restorations that inspire confidence and trust.

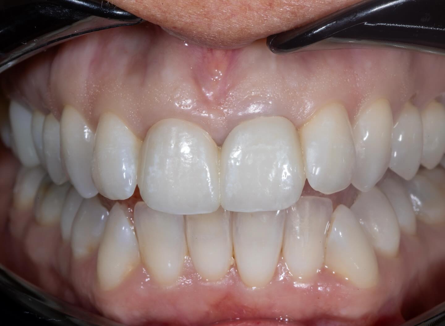
Why Dentists Trust Us?
Expert Craftmanship
The culmination of many years of lab work has led our team to skillfully
manipulate both texture and color to create the most lifelike restorations. The technical
execution as well as the artistic vision give dentist work that is flawlessly integrated with the
patients natural bite and facial features.
Cutting-Edge Technology
With state of the art milling machines and 3D printers along with the
newest CAD/CAM software's we ensure the ideal and precise measurements for every doctor and patient are met.
Reliable Turnaround
Our lab ensures a quick and efficient delivery no matter your needs. Whether
it be Zirconia or emax our cases have a 7 day lab guarantee.
Collaboration and Support
Featuring a local team that works day and night to ensure doctor
satisfaction. We will be closely in touch to ensure every step of the process exceeds
expectations/standards.
Partners:
_edited.png)


_edited.png)



































